Zabieg Zęby w jeden dzień w Koszalinie to innowacyjna metoda, która zyskuje coraz większą popularność wśród pacjentów pragnących szybko i skutecznie poprawić stan swojego uzębienia. Główną zaletą tej procedury jest czas, ponieważ tradycyjne leczenie stomatologiczne często wymaga wielu wizyt oraz długiego oczekiwania na efekty. Dzięki nowoczesnym technologiom i technikom, takim jak implantologia czy protetyka, pacjenci mogą cieszyć się nowymi zębami już po jednej wizycie. Kolejnym atutem jest komfort psychiczny, który towarzyszy pacjentom, gdyż nie muszą oni martwić się o długotrwałe leczenie i związane z nim dyskomforty. Dodatkowo, zabieg ten pozwala na natychmiastowe przywrócenie funkcji żucia oraz estetyki uśmiechu, co ma ogromne znaczenie dla jakości życia. Warto również zauważyć, że wiele klinik w Koszalinie oferuje atrakcyjne pakiety usług, co sprawia, że dostępność tego rodzaju zabiegów staje się coraz szersza.
Jak wygląda proces Zęby w jeden dzień w Koszalinie
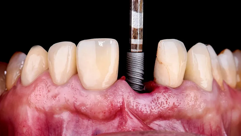
Proces Zęby w jeden dzień w Koszalinie rozpoczyna się od szczegółowej konsultacji stomatologicznej, podczas której lekarz ocenia stan uzębienia pacjenta oraz przeprowadza niezbędne badania diagnostyczne. Na podstawie zebranych informacji tworzy indywidualny plan leczenia, który uwzględnia potrzeby i oczekiwania pacjenta. Następnie przystępuje się do wykonania zdjęć rentgenowskich oraz skanów 3D, które umożliwiają precyzyjne zaplanowanie zabiegu. W dniu zabiegu lekarze wykonują wszelkie niezbędne procedury, takie jak usunięcie zębów wymagających ekstrakcji czy przygotowanie kości do implantacji. Po zakończeniu tych etapów następuje umieszczenie implantów oraz wykonanie tymczasowych koron lub mostów protetycznych. Cały proces jest zazwyczaj bezbolesny dzięki zastosowaniu nowoczesnych metod znieczulenia. Po zakończeniu zabiegu pacjent otrzymuje szczegółowe instrukcje dotyczące pielęgnacji jamy ustnej oraz umówioną wizytę kontrolną, aby monitorować postępy gojenia się tkanek i funkcjonowania nowych zębów.
Czy Zęby w jeden dzień są bezpieczne dla pacjentów w Koszalinie

Bezpieczeństwo zabiegu Zęby w jeden dzień w Koszalinie jest kluczowym aspektem, który powinien interesować każdego pacjenta rozważającego tę formę leczenia stomatologicznego. Warto podkreślić, że nowoczesne technologie oraz materiały stosowane w implantologii są niezwykle zaawansowane i spełniają najwyższe standardy jakości. Lekarze stomatolodzy pracujący w klinikach oferujących ten zabieg są zazwyczaj wysoko wykwalifikowani i posiadają odpowiednie certyfikaty oraz doświadczenie w przeprowadzaniu tego typu procedur. Przed przystąpieniem do zabiegu każdy pacjent jest dokładnie informowany o potencjalnych ryzykach oraz możliwych powikłaniach związanych z implantacją zębów. Ważne jest również przestrzeganie zaleceń dotyczących przygotowania do zabiegu oraz postępowania po jego zakończeniu, co znacząco wpływa na bezpieczeństwo całego procesu. Dodatkowo kliniki często oferują gwarancję na wykonane usługi, co świadczy o ich pewności co do jakości przeprowadzanych zabiegów.
Jak przygotować się do zabiegu Zęby w jeden dzień w Koszalinie
Przygotowanie do zabiegu Zęby w jeden dzień w Koszalinie jest kluczowym elementem zapewniającym jego sukces oraz bezpieczeństwo dla pacjenta. Przed wizytą warto odbyć konsultację ze stomatologiem, aby omówić swoje oczekiwania oraz ewentualne obawy dotyczące zabiegu. Lekarz przeprowadzi dokładny wywiad medyczny i oceni stan zdrowia jamy ustnej, co pozwoli na stworzenie spersonalizowanego planu leczenia. Ważnym krokiem jest także wykonanie niezbędnych badań diagnostycznych, takich jak zdjęcia rentgenowskie czy tomografia komputerowa, które pomogą ocenić stan kości i tkanek miękkich wokół zębów. W dniu zabiegu warto zadbać o odpowiednią higienę jamy ustnej oraz unikać spożywania ciężkostrawnych posiłków tuż przed wizytą. Należy również pamiętać o tym, aby nie przyjmować leków przeciwbólowych ani przeciwzapalnych bez wcześniejszej konsultacji z lekarzem.
Jakie są koszty zabiegu Zęby w jeden dzień w Koszalinie
Koszty zabiegu Zęby w jeden dzień w Koszalinie mogą się różnić w zależności od wielu czynników, takich jak lokalizacja kliniki, doświadczenie lekarzy oraz zastosowane materiały i technologie. Warto zaznaczyć, że inwestycja w zdrowe zęby to nie tylko wydatek na sam zabieg, ale także długoterminowe korzyści związane z poprawą jakości życia. Ceny mogą zaczynać się od kilku tysięcy złotych za pojedynczy implant, a kończyć na znacznie wyższych kwotach, jeśli pacjent potrzebuje kompleksowego leczenia obejmującego wiele zębów. Wiele klinik oferuje różnorodne opcje finansowania, takie jak płatności ratalne czy możliwość skorzystania z kredytów medycznych, co sprawia, że zabieg staje się bardziej dostępny dla szerszego grona pacjentów. Dodatkowo warto zwrócić uwagę na promocje i pakiety usług, które mogą obniżyć całkowity koszt leczenia.
Jakie są opinie pacjentów o Zęby w jeden dzień w Koszalinie
Opinie pacjentów na temat zabiegu Zęby w jeden dzień w Koszalinie są bardzo zróżnicowane i często zależą od indywidualnych doświadczeń oraz oczekiwań. Wiele osób chwali tę metodę za szybkość i efektywność, podkreślając, że dzięki niej udało im się poprawić estetykę uśmiechu oraz funkcjonalność zgryzu w krótkim czasie. Pacjenci często zwracają uwagę na komfort psychiczny związany z natychmiastowym uzyskaniem nowych zębów oraz eliminacją problemów związanych z brakami w uzębieniu. Warto jednak zauważyć, że nie wszyscy mają pozytywne doświadczenia. Niektórzy pacjenci skarżą się na powikłania po zabiegu lub niezadowolenie z efektu końcowego. Dlatego tak ważne jest, aby przed podjęciem decyzji o zabiegu dokładnie zbadać opinie innych osób oraz skonsultować się z doświadczonym stomatologiem. Wiele klinik zachęca pacjentów do dzielenia się swoimi doświadczeniami, co pozwala przyszłym klientom lepiej ocenić jakość usług oraz podejście personelu do pacjenta.
Jak długo trwa proces gojenia po Zęby w jeden dzień w Koszalinie
Proces gojenia po zabiegu Zęby w jeden dzień w Koszalinie może różnić się w zależności od indywidualnych predyspozycji pacjenta oraz zakresu przeprowadzonego leczenia. Generalnie jednak większość pacjentów może oczekiwać pierwszych oznak gojenia już po kilku dniach od zabiegu. W przypadku implantacji zębów istotne jest, aby pamiętać o tym, że pełne osadzenie implantu w kości może trwać od kilku tygodni do kilku miesięcy. W tym czasie ważne jest przestrzeganie zaleceń lekarza dotyczących diety oraz higieny jamy ustnej, aby uniknąć infekcji i wspierać proces gojenia. Pacjenci często mogą wrócić do normalnych aktywności już po kilku dniach, jednak zaleca się unikanie intensywnego wysiłku fizycznego przez przynajmniej tydzień po zabiegu. Kontrolne wizyty u stomatologa są kluczowe dla monitorowania postępów gojenia oraz ewentualnego dostosowania dalszego leczenia. Lekarz może zalecić dodatkowe badania obrazowe, aby upewnić się, że implanty prawidłowo integrują się z kością.
Jak dbać o nowe zęby po zabiegu Zęby w jeden dzień w Koszalinie
Dbanie o nowe zęby po zabiegu Zęby w jeden dzień w Koszalinie jest kluczowe dla zapewnienia ich długotrwałego zdrowia i estetyki. Po zakończeniu procedury lekarz zazwyczaj udziela szczegółowych wskazówek dotyczących pielęgnacji jamy ustnej oraz diety. Ważne jest, aby unikać twardych i lepkich pokarmów przez pierwsze dni po zabiegu, co pozwoli na prawidłowe gojenie tkanek wokół implantów. Regularne szczotkowanie zębów przy użyciu miękkiej szczoteczki oraz stosowanie nici dentystycznej to podstawowe zasady higieny jamy ustnej, które powinny być przestrzegane przez każdego pacjenta. Dodatkowo warto rozważyć stosowanie płynów do płukania jamy ustnej zawierających składniki antybakteryjne, które pomogą utrzymać zdrową florę bakteryjną i zapobiegać infekcjom. Regularne wizyty kontrolne u stomatologa są niezbędne do monitorowania stanu zdrowia nowych zębów oraz wykrywania ewentualnych problemów na wczesnym etapie.
Jak wybrać najlepszą klinikę do zabiegu Zęby w jeden dzień w Koszalinie
Wybór najlepszej kliniki do zabiegu Zęby w jeden dzień w Koszalinie to kluczowy krok dla każdego pacjenta pragnącego poprawić stan swojego uzębienia. Przede wszystkim warto zwrócić uwagę na doświadczenie lekarzy oraz ich kwalifikacje zawodowe. Kliniki zatrudniające specjalistów z certyfikatami i dużym doświadczeniem mają większe szanse na zapewnienie wysokiej jakości usług. Kolejnym istotnym aspektem jest wyposażenie kliniki – nowoczesny sprzęt diagnostyczny oraz technologie stosowane podczas zabiegów mogą znacząco wpłynąć na komfort i bezpieczeństwo leczenia. Opinie innych pacjentów są również cennym źródłem informacji; warto poszukać recenzji online lub zapytać znajomych o ich doświadczenia związane z konkretnymi placówkami. Dobrze jest również odwiedzić kilka klinik osobiście przed podjęciem decyzji – atmosfera panująca w gabinecie oraz podejście personelu mogą mieć duże znaczenie dla komfortu psychicznego pacjenta podczas całego procesu leczenia.
Czy istnieją przeciwwskazania do zabiegu Zęby w jeden dzień w Koszalinie
Zabieg Zęby w jeden dzień w Koszalinie nie jest odpowiedni dla każdego pacjenta i istnieją pewne przeciwwskazania, które należy brać pod uwagę przed podjęciem decyzji o jego przeprowadzeniu. Przede wszystkim osoby cierpiące na choroby ogólnoustrojowe takie jak cukrzyca czy choroby serca powinny skonsultować się ze swoim lekarzem przed przystąpieniem do zabiegu, ponieważ mogą one wpływać na proces gojenia i integracji implantów z kością. Ponadto osoby palące papierosy powinny być świadome ryzyka powikłań związanych z paleniem tytoniu po operacji stomatologicznej; nikotyna może znacznie wydłużyć czas gojenia oraz zwiększyć ryzyko infekcji. Inne przeciwwskazania obejmują niewystarczającą ilość tkanki kostnej do osadzenia implantu czy aktywne infekcje jamy ustnej lub choroby przyzębia. Dlatego tak ważne jest przeprowadzenie dokładnej diagnostyki przed rozpoczęciem leczenia oraz omówienie wszelkich obaw ze stomatologiem.






